Sickle Cell Awareness Month, observed every September, is a crucial time dedicated to raising awareness about sickle cell disease (SCD), a hereditary blood disorder that affects millions of people worldwide. This month-long observance highlights the importance of understanding the disease, supporting affected individuals and families, and promoting research and treatment advancements.
What Is Sickle Cell Disease?
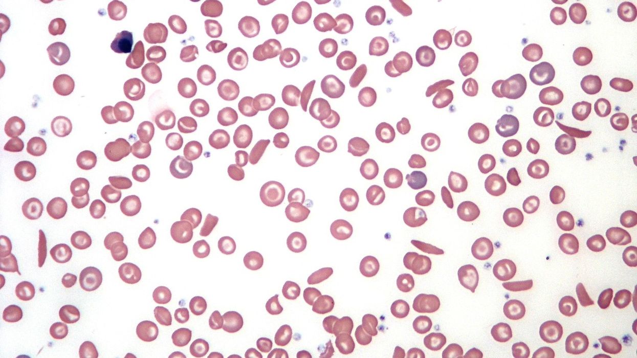
Sickle cell disease is a group of inherited red blood cell disorders characterized by the presence of abnormal hemoglobin, known as hemoglobin S. Unlike normal red blood cells, which are round and flexible, sickle-shaped cells are rigid and crescent-shaped. These distorted cells can block blood flow in small blood vessels, leading to severe pain, organ damage, and increased risk of infection. Sickle cell disease can cause a range of complications, including stroke, acute chest syndrome, and chronic pain .
SCD primarily affects people of African, Mediterranean, Middle Eastern, and Indian ancestry. In the United States, it is most prevalent among African Americans, with approximately 100,000 individuals affected .
The Importance of Sickle Cell Awareness Month
- Raising Awareness and Reducing Stigma
One of the primary goals of Sickle Cell Awareness Month is to educate the public about the disease. Despite being one of the most common genetic disorders, sickle cell disease remains underrepresented in public health discussions. This lack of awareness contributes to stigma and misconceptions, which can lead to discrimination against those living with SCD. By increasing public understanding, Sickle Cell Awareness Month aims to reduce stigma and promote a more inclusive and supportive environment for individuals with SCD .
- Promoting Early Detection and Screening
Early detection and screening are vital for managing sickle cell disease. Newborn screening for SCD is now standard practice in many countries, including the United States. Identifying the disease early allows for timely interventions, which can prevent complications and improve quality of life. During Sickle Cell Awareness Month, healthcare providers and advocacy groups emphasize the importance of screening and educate parents and caregivers about the signs and symptoms of the disease .
- Advocating for Better Care and Support
Individuals with sickle cell disease often face significant challenges, including frequent hospitalizations, chronic pain, and a lack of access to specialized care. Sickle Cell Awareness Month serves as a platform for advocacy, calling for better healthcare services, increased funding for research, and improved access to treatments. Advocacy efforts during this month also focus on addressing health disparities and ensuring that all individuals with SCD receive the care and support they need .
- Encouraging Research and Advancements in Treatment
Significant progress has been made in the treatment of sickle cell disease, but there is still a long way to go. Current treatments, such as pain management, blood transfusions, and hydroxyurea, can help manage symptoms, but they are not cures. The only curative treatment currently available is a bone marrow or stem cell transplant, which is not an option for many patients due to the difficulty in finding a suitable donor.
Sickle Cell Awareness Month highlights the importance of continued research into new therapies and potential cures. Recent advancements in gene therapy and other innovative treatments offer hope for the future, but sustained funding and research efforts are needed to make these treatments widely available .
- Supporting the Sickle Cell Community
Sickle Cell Awareness Month is also a time to celebrate and support the resilience of the sickle cell community. Various events, including fundraisers, educational workshops, and community gatherings, are held throughout the month to bring people together and provide support for those affected by the disease. These activities help build a sense of community and solidarity, empowering individuals with SCD and their families .
Sickle Cell Awareness Month is a vital observance that brings attention to a disease that affects millions of people worldwide. By raising awareness, promoting early detection, advocating for better care, encouraging research, and supporting the sickle cell community, this month plays a crucial role in improving the lives of those affected by sickle cell disease. Continued efforts and collaboration among healthcare providers, researchers, and advocates are essential to advancing the fight against SCD and ultimately finding a cure.
Citations:
- "What is Sickle Cell Disease?" Centers for Disease Control and Prevention (CDC), 2023.
- "Sickle Cell Disease Facts." National Institutes of Health (NIH), 2022.
- "Raising Awareness of Sickle Cell Disease." American Society of Hematology (ASH), 2023.
- "Newborn Screening for Sickle Cell Disease." American Academy of Pediatrics (AAP), 2023.
- "Advances in Sickle Cell Disease Research." National Heart, Lung, and Blood Institute (NHLBI), 2023.
















Ragina Ireland has been lovingly supported throughout her cancer journey by her sister, Johnnie Ireland. Four years ago, Ragina took a Cancer Genetic Risk Assessment test to help give her sister a clearer understanding of her own risk for developing breast cancer.
Dr. Cary S. Kaufman teaches the "Essentials of Oncoplastic Surgery" course through the National Consortium of Breast Centers, providing breast surgeons around the world with advanced techniques for optimal breast surgery outcomes.